;
| ic med Zentrale | |
|---|---|
| (0345) 2984190 | |
| Telematik-Hotline | |
| (0261) 8000-9000 | |
| Z1 & CHREMASOFT-Hotline | |
| (0800) 4500550 | |
Ob Einstieg in die digitale extraorale Bildgebung oder Ausbau Ihrer diagnostischen Möglichkeiten: DEXIS bietet skalierbare Röntgenlösungen für unterschiedliche Praxisanforderungen. Mit dem DEXIS OP 3D, dem OP 3D EX und dem OP 3D LX stehen Ihnen leistungsstarke Systeme zur Verfügung, die von klassischen Panoramaaufnahmen bis hin zu umfangreicher 3D-Diagnostik reichen. Ergänzt wird das System durch DTX Studio Clinic als intelligente Softwarezentrale für Bildgebung, Behandlungsplanung und Fallkommunikation.
Moderne Zahnarztpraxen brauchen heute mehr als nur gute Bilder. Gefragt sind Systeme, die zuverlässig arbeiten, sich in bestehende Abläufe integrieren lassen und gleichzeitig Raum für Wachstum schaffen. Genau hier setzt DEXIS an: mit einer Bildgebungsplattform, die hohe Bildqualität, flexible Volumina, intuitive Bedienung und zukunftsfähige Erweiterungsmöglichkeiten verbindet. Je nach Bedarf kann von Panorama über Fernröntgen bis zur 3D-Diagnostik eine Lösung gewählt werden, die zu Ihrem heutigen und morgigen Praxisalltag passt.
Von Panoramaaufnahmen bis zur 3D-Bildgebung für Implantologie, Endodontie, Chirurgie oder Kiefergelenkanalyse – DEXIS bietet passende Volumina und Programme für unterschiedliche klinische Anforderungen.
Artefakt- und Rauschunterdrückung sowie Funktionen wie Metallartefaktreduktion unterstützen eine klare Darstellung und eine hohe diagnostische Sicherheit.
Intuitive Bedienoberflächen, schnelle Vorschauen und logisch aufgebaute Abläufe helfen dabei, die Arbeit im Team zu vereinfachen und Untersuchungen effizient durchzuführen.
Mehrere DEXIS-Systeme lassen sich aufrüsten – etwa um größere Volumina, 3D-Funktionen oder cephalometrische Optionen. Das macht die Investition langfristig planbar.
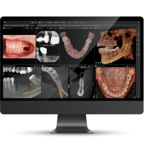
Mit DTX Studio Clinic lassen sich 2D- und 3D-Bilder, Intraoralscans und Fotos in einer zentralen Lösung zusammenführen. Das erleichtert Diagnostik, Planung und Patientenkommunikation.
Wir unterstützen Sie dabei, die passende Lösung für Ihre Praxis zu finden – abgestimmt auf Fachbereich, Investitionsrahmen und Workflow.
Das DEXIS OP 3D ist eine modulare Bildgebungslösung für Praxen, die heute passend starten und sich künftig Entwicklungsspielraum sichern möchten. Das System ist aufrüstbar und kann mit den Anforderungen Ihrer Praxis wachsen. Es bietet Panoramafunktionen, optional Fernröntgen sowie 3D-Aufnahmen mit mehreren voreingestellten und anpassbaren Volumen. Auch Funktionen wie Metallartefaktreduktion und automatische Auswahl der optimalen Bildschicht bei Panoramaaufnahmen unterstützen eine konstante Bildqualität im Praxisalltag.
Vorteile:
Der OP 3D EX richtet sich an Praxen, die mehr diagnostische Sicherheit und flexible Einsatzmöglichkeiten in der 3D-Bildgebung wünschen. Laut DEXIS arbeitet das System mit sechs voreingestellten Volumen und insgesamt 66 anpassbaren Volumengrößen. Die Volumina reichen von 5 x 5 cm bis 10 x 15 cm und decken damit zahlreiche klinische Anwendungen ab – von lokalisierter Diagnostik über Implantatplanung bis hin zur Aufnahme beider Kiefer und des vollständigen Gebisses. Unterschiedliche Auflösungen, darunter auch Endo-Auflösung, ermöglichen eine anwendungsbezogene Bildgebung bei möglichst passender Dosis.
Vorteile:
Der OP 3D LX ist die leistungsstärkste Lösung innerhalb der hier betrachteten DEXIS-Extraoralplattform. Das System deckt laut Hersteller ein breites Spektrum von der Endodontie bis hin zu komplexen chirurgischen Fällen ab und bietet Volumina von 5 x 5 cm bis 15 x 20 cm. Damit ermöglicht es auch die Darstellung großer diagnostischer Bereiche bzw. des maxillofazialen Komplexes in einem nahtlosen Scan. Zusätzliche Vorteile sind die skalierbare Erweiterbarkeit, hochwertige Bildgebung durch Artefakt- und Rauschunterdrückung sowie Funktionen zur Unterstützung effizienter Workflows.
Vorteile:
Mit DTX Studio Clinic ergänzt DEXIS die Hardware um eine zentrale Softwareplattform für 2D- und 3D-Bildgebung. Die Software ist für Diagnostik, Behandlungsplanung und Patientenkommunikation ausgelegt und bringt unterschiedliche Bilddaten in einer Lösung zusammen. Laut DEXIS lassen sich damit nicht nur Bilder zentral speichern und verwalten, sondern auch Diagnosen, Fallpräsentationen und die Kommunikation mit Partnern strukturierter abbilden. Besonders im Praxisalltag ist das ein Vorteil, wenn verschiedene Bildtypen, Intraoralscans und Fotografien übersichtlich zusammengeführt werden sollen.
2D- und 3D-Bilder, Intraoralscans und weitere Bilddaten können in einer zentralen Oberfläche zusammengeführt werden.
Visuelle Fallpräsentationen helfen dabei, Diagnosen und Behandlungsvorschläge verständlich und überzeugend zu vermitteln.
Die Plattform ist darauf ausgelegt, Bilddaten schneller verfügbar zu machen und Abläufe zwischen Diagnose, Planung und Kommunikation zu vereinfachen.
Nicht jede Praxis braucht dieselbe Bildgebungslösung. Entscheidend sind Fachrichtung, Indikationsspektrum, geplante Weiterentwicklung und gewünschter Workflow. Gerne unterstützen wir Sie dabei, das passende DEXIS System für Ihre Anforderungen zu finden – persönlich, praxisnah und mit Blick auf eine wirtschaftlich sinnvolle Lösung.
Ideal für Praxen, die mit einer soliden extraoralen Lösung starten und sich eine spätere Erweiterung offenhalten möchten.
Passend für Praxen, die flexibel in der 3D-Diagnostik arbeiten und verschiedene klinische Anwendungen mit anpassbaren Volumina abdecken möchten.
Die richtige Wahl für Praxen mit hohen Ansprüchen an Volumengröße, Diagnostikbreite und erweiterte Anwendungen.
Sie sehen gerade einen Platzhalterinhalt von YouTube. Um auf den eigentlichen Inhalt zuzugreifen, klicken Sie auf die Schaltfläche unten. Bitte beachten Sie, dass dabei Daten an Drittanbieter weitergegeben werden.
Mehr InformationenSie sehen gerade einen Platzhalterinhalt von YouTube. Um auf den eigentlichen Inhalt zuzugreifen, klicken Sie auf die Schaltfläche unten. Bitte beachten Sie, dass dabei Daten an Drittanbieter weitergegeben werden.
Mehr InformationenSie sehen gerade einen Platzhalterinhalt von YouTube. Um auf den eigentlichen Inhalt zuzugreifen, klicken Sie auf die Schaltfläche unten. Bitte beachten Sie, dass dabei Daten an Drittanbieter weitergegeben werden.
Mehr InformationenSie interessieren sich für DEXIS Röntgengeräte? Schreiben Sie uns – wir melden uns zeitnah bei Ihnen zurück.
Sie sehen gerade einen Platzhalterinhalt von YouTube. Um auf den eigentlichen Inhalt zuzugreifen, klicken Sie auf die Schaltfläche unten. Bitte beachten Sie, dass dabei Daten an Drittanbieter weitergegeben werden.
Mehr InformationenSie sehen gerade einen Platzhalterinhalt von Vimeo. Um auf den eigentlichen Inhalt zuzugreifen, klicken Sie auf die Schaltfläche unten. Bitte beachten Sie, dass dabei Daten an Drittanbieter weitergegeben werden.
Mehr InformationenSie sehen gerade einen Platzhalterinhalt von YouTube. Um auf den eigentlichen Inhalt zuzugreifen, klicken Sie auf die Schaltfläche unten. Bitte beachten Sie, dass dabei Daten an Drittanbieter weitergegeben werden.
Mehr InformationenSie müssen den Inhalt von reCAPTCHA laden, um das Formular abzuschicken. Bitte beachten Sie, dass dabei Daten mit Drittanbietern ausgetauscht werden.
Mehr InformationenSie sehen gerade einen Platzhalterinhalt von Facebook. Um auf den eigentlichen Inhalt zuzugreifen, klicken Sie auf die Schaltfläche unten. Bitte beachten Sie, dass dabei Daten an Drittanbieter weitergegeben werden.
Mehr Informationen
